Endodontic Surgery

Explore our range of endodontic services designed to help you reach and maintain a healthy smile.

  • Some signs you may need a root canal include sensitivity to hot or cold temperatures for extended periods of time, swelling or tenderness in the gums around the tooth, looseness, or movement from the tooth's original position. Other signs include:

    • Cracked or chipped tooth

    • Persistent or intense tooth pain, especially when chewing or applying pressure

    • Change in tooth color

    • Pain that radiates to the jaw, ear, or neck

    If you experience any of these symptoms, it's important to make an appointment with one of our dental specialists to determine the best treatment plan.

  • During this procedure, also called endodontic treatment, the dentist drills a small opening in the top of the tooth to remove the infected or damaged pulp from two areas:

    • The pulp chamber: the space inside the tooth’s crown that houses the tooth's nerve and blood vessels

    • The root canals: the narrow passages that extend from the pulp chamber through the roots of the tooth

    After removing any remaining bacteria and debris, they fill and seal the area with a temporary or permanent filling. A crown may be needed as well to strengthen the tooth.

    For further information, please watch the root canal video below.

  • Choosing between a root canal and extraction depends on saving the natural tooth versus removing a severely damaged one. Root canals are generally preferred to maintain jawbone health, bite alignment, and natural aesthetics. Extraction is better for teeth with excessive decay, fractures below the gum line, or when it is more cost-effective.

  • In reality, a root canal relieves pain caused by infected or inflamed dental pulp. With modern techniques, the procedure itself is relatively painless. Dentists may use local anesthesia o numb the area, ensuring a comfortable experience for the patient. Many patients feel immediate relief from the pain once the infected pulp is removed.

  • Root canal recovery typically takes less than a week, with most patients returning to normal activities in 1-3 days. Expect mild tenderness or sensitivity for the first few days, easily managed with over the counter medication. Avoid chewing on the treated tooth until the final crown is placed, and stick to soft foods.

  • When a root canal is performed, the infected pulp inside the tooth is removed, cleaned, and sealed. While this saves the natural tooth, it can also leave the structure more brittle and vulnerable to fractures.

    A dental crown acts like a protective cap, restoring the tooth’s strength, function, and appearance. Without that protection, the treated tooth may be more likely to chip or break over time.

Endodontics

Endodontics is the area of dentistry focused on treating the inner tissues of the tooth, known as the dental pulp. The pulp contains nerves and blood vessels and is protected by layers of dentin and enamel. When deep decay, cracks, or trauma allow bacteria to reach this inner layer, infection and significant discomfort can occur.

Endodontic treatment - commonly referred to as root canal therapy - removes the infected or inflamed pulp, carefully disinfects the inner chamber of the tooth, and seals it to prevent further infection. This procedure relieves pain, eliminates infection, and preserves your natural tooth structure whenever possible.

Using advanced diagnostic technology and precise techniques, Dr. Fardad Tayebaty is able to accurately identify the source of dental pain and provide effective treatment in a comfortable setting. Our goal is to restore health, function, and long-term stability while helping you maintain your natural smile.

Services we offer

  • Endodontic therapy, also known as a root canal, is a relatively painless treatment which aims at clearing infection as well as protecting the tooth from subsequent infections.

    When a tooth is cracked or has a deep cavity, bacteria can enter the pulp tissue and germs can cause infection. If left untreated, an abscess may form. If the infected tissue is not removed, pain and swelling can result.

    This not only puts your jawbones at risk for injury, but it is also detrimental to your overall health. Without the proper treatment, your tooth may have to be removed.

    Teeth that require endodontic therapy are not always painful. However, signs you may need a root canal include:

    • Severe toothache

    • Pain upon chewing or application of pressure

    • Prolonged sensitivity to heat or cold

    • Dark discoloration of the tooth

    • Swelling and tenderness in the nearby gums

    What happens during endodontic therapy?

    Root canal treatment involves one to three visits during which your endodontist removes the affected tissue. After the tissue is removed, the interior of the tooth will be cleaned and sealed.

    Finally, the tooth is filled with a temporary restoration.   You will need to make an appointment with your General Dentist to have the tooth permanently restored.   If your tooth had extensive decay, your doctor may suggest placing a crown to strengthen and protect the tooth from breakage. As long as you continue to care for your teeth and gums with regular brushing, flossing, and checkups, your restored tooth can last a lifetime.

    Most teeth can be saved by endodontic therapy. However, tooth extraction may be necessary if:

    • Roots are severely fractured

    • The tooth does not have adequate bone support

    • The tooth cannot be restored

    • Root canals are not accessible

    Endodontic therapy is intended to help save your tooth from extraction. Missing teeth can make you self-conscious, affect your ability to bite and chew, cause other healthy teeth to shift, and have a negative impact on your overall health. By choosing to receive endodontic therapy, you are choosing to keep your smile healthy and beautiful for years to come. Click here to learn more about root canals.

  • Most people are familiar with root canals, but there’s another important dental procedure that’s not as well known — an apicoectomy. In some cases, a root canal in Mountain View may not be enough to save your natural tooth. Before resorting to having your tooth pulled, your dentist may recommend getting an apicoectomy as a last-ditch effort to save your tooth. 

    Read on to learn more about the apicoectomy procedure, when you might need one, and where you can find the best endodontist in Mountain View to perform this procedure. 

    What Is an Apicoectomy?

    An apicoectomy is a highly successful surgical procedure that involves removing the tip of a tooth's root and the surrounding infected tissue. This procedure is typically done when a root canal treatment has failed to remove all of the infected tissue or if your tooth root is severely damaged and not healing well.

    What Happens During an Apicoectomy?

    During an apicoectomy, an endodontist will make a small incision in the gum tissue near the affected tooth to access the root. The tip of the root is then removed, along with any damaged tissue from around it. An endodontist in Mountain View will then clean and seal the root canal with a material that can prevent any further infection.

    An apicoectomy is typically performed with local anesthesia and is considered a relatively minor surgical procedure. It is often the last resort for saving a tooth before pulling the tooth becomes necessary.

    When You May Need an Apicoectomy

    If you are experiencing persistent pain and swelling in your gums, it may be a sign that you have an infection in the root area of a tooth. Typically, a root canal is a first-line treatment for this, but if you’ve already had a root canal and your symptoms come back or persist, you may need an apicoectomy.

    Other reasons for an apicoectomy include:

    • Treat a fracture in the lower part of the tooth caused by injury such as facial trauma or biting down on something hard 

    • Removing calcium buildup in the root canal 

    • Removing a tooth root that’s developed a hole or dental abscess after a root canal 

    It is important to note that not all cases of persistent tooth pain or swelling require an apicoectomy. Seeing an endodontist is the only way to know if this treatment is right for you.

    What to Expect When You Get an Apicoectomy

    If you think you may need an apicoectomy, you might be having some anxiety about the procedure. Knowing what to expect can help calm your nerves ahead of your appointment. Here are some things you can expect: 

    • Before your procedure 

    Before the apicoectomy, your endodontist will explain the details of how the procedure is done and answer any questions you may have. You will also be given instructions on how to prepare for the procedure — which may include avoiding certain foods and medications.

    • During your procedure 

    During your apicoectomy, your endodontist will make a small incision in your gum to expose the root of the affected tooth. Then the tip of the tooth root will be removed, along with any damaged tissue from a tooth infection. A small filling will be used to seal the end of the root canal before closing the incision. 

    • After your procedure 

    After your apicoectomy, you may experience some minor swelling and discomfort. Your endodontist will provide you with instructions on how to care for the affected area. This may include taking pain medication and avoiding certain foods until after you have healed.

    Overall, apicoectomies is usually a simple procedure that takes around 30 to 60 minutes to complete. Recovery is usually easy, and most people return to their usual activities within 24 hours of the procedure — especially if microscope technology is used. 

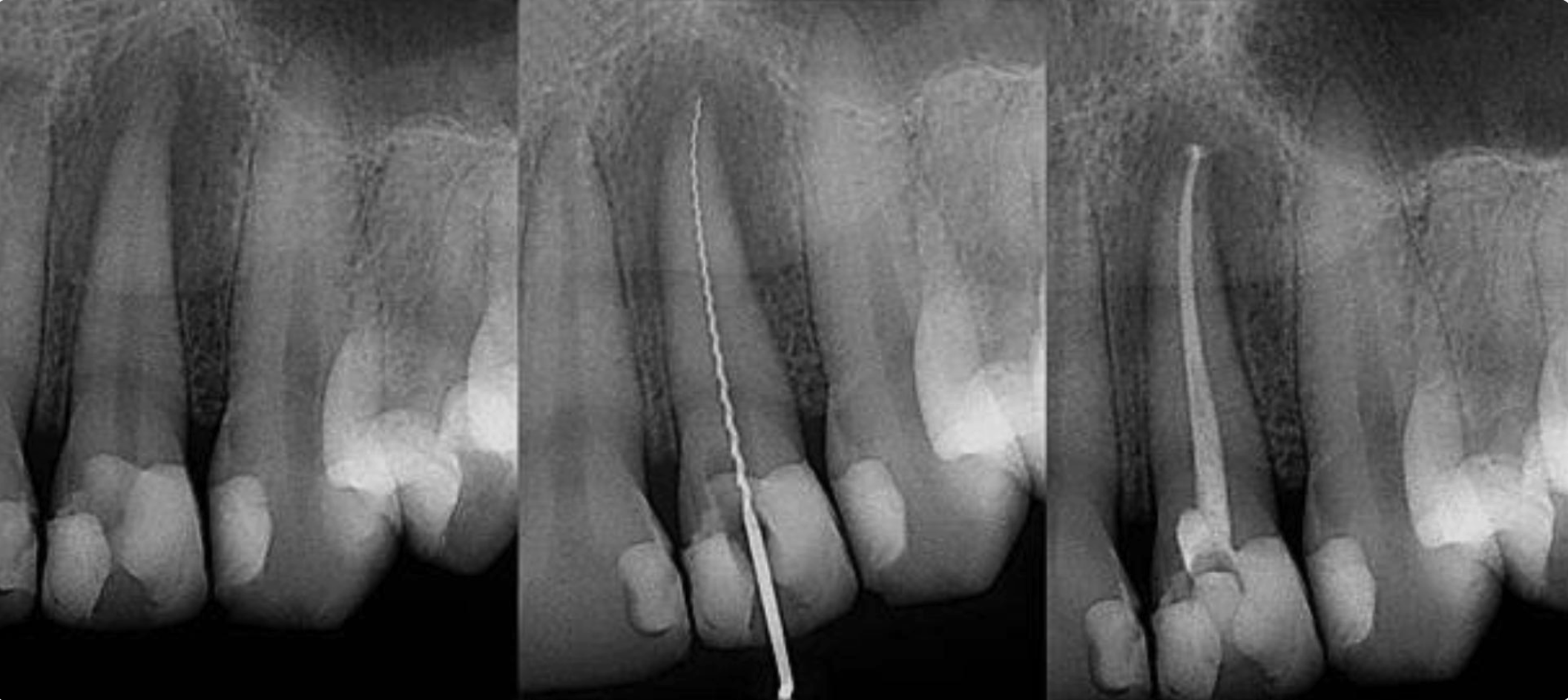
  • As occasionally happens with any dental or medical procedure, a tooth may not heal as expected after initial endodontic therapy (root canal treatment) for a variety of reasons. If the infection did not heal properly, placement of the crown or other restoration was delayed, or new decay has formed, you may need endodontic retreatment in order to save your tooth.

    Retreatment Procedure

    First, Dr. Tayebaty will discuss your treatment options. If you choose retreatment, he will reopen your tooth to gain access to the root canal filling material. Removal of restoration and filling material allows access to the infected canals.

    After removing the root canal filling, the endodontist can clean the canals and carefully examine the inside of your tooth using magnification and illumination, searching for any additional canals, possible fractures or unusual anatomy that requires treatment.

    Your endodontist will clean the canals, seal them, and place a filling in the tooth. If the canals are unusually narrow or blocked, your endodontist may recommend endodontic surgery.

    After Dr. Tayebaty completes retreatment, you will need to return to your dentist as soon as possible to have a new crown or other restoration placed on the tooth to protect and restore it to its full function.

  • While most traumatic dental injuries occur in children and teenagers, people of all ages can be affected, usually as a result of sports injuries, automobile accidents, or bad falls. If you've experienced a traumatic dental injury it is important to visit your endodontist in order to determine any necessary treatment. Any dental injury, even if apparently mild, requires examination by a dentist or an endodontist immediately. Sometimes, neighboring teeth suffer an additional, unnoticed injury that will only be detected by a thorough dental exam. Some examples of traumatic oral injuries are:

    • Dislodged (Luxated) Teeth

    • Knocked-Out (Avulsed) Teeth

    • Root Fractures

    • Root Resorption

    • Injuries in Children

Root Canals - Your Questions Answered

Patient Education

To learn more about root canals, we invite you to watch these brief videos. If you have any additional questions or would like to schedule an appointment, please contact our office, our dental team is always happy to assist you.

  • "Perfect Smiles always takes such great care of my husband and me. The staff and doctors are incredibly friendly and make sure you feel truly cared for. We've had different types of treatments done, and every experience has been excellent."

    - Silvania C.

  • "I've been going to Perfect Smiles in San Ramon for quite a few years! The office is beautiful clean and the professionals are super friendly and know their business well I would recommend Perfect Smiles in San Ramon 1000%. You won't be sorry.."

    —Kathleen L.

  • "The staff is like family. They cared more about me, my feelings and what was best for me. I felt they were not focused on billing me and just saw me as revenue."

    —Tvigil

Schedule your appointment with our dental specialists today and experience the highest standard of personalized care. Our expert dental team is committed to supporting your journey towards optimal oral health and well-being.

Book an Appointment

Select Appointment